MENU

ÅðÇ༺°üÀý¿°

  • ÅðÇ༺°üÀý¿°À̶õ?
    ÅðÇ༺°üÀý¿°À̶õ ¿¬°ñÀÇ ¼Õ»ó ¶Ç´Â ÅðÇ༺ º¯È­·Î ÀÎÇØ °üÀýÀ» ÀÌ·ç´Â »À¿Í ÀÎ´ë µîÀÌ ¼Õ»óµÇ¾î ¿°ÁõÀÌ ¹ß»ýÇØ ÅëÁõÀÌ ³ªÅ¸³ª´Â ÁúȯÀ» ¸»ÇÕ´Ï´Ù.
    ÀÌ ÁúȯÀº ÁÖ·Î °úµµÇÑ ¿îµ¿À» Çϰųª, ¾ç¹Ý´Ù¸®³ª Âɱ׷Á ¾É´Â ÀÚ¼¼¸¦ ÀÚÁÖ Çϴ ȯÀÚ¿¡°Ô ÈçÈ÷ ¹ß»ýÇÕ´Ï´Ù. ¶ÇÇÑ ÀÏ»ó»ýȰÀ» ÇÒ ¶§ °úüÁßÀ¸·Î ÀÎÇØ ¹«¸­¿¡ ½ÉÇÑ ºÎ´ãÀÌ °¡ÇØÁú ¶§ ÅëÁõÀÌ »ý±æ ¼ö ÀÖ½À´Ï´Ù.



    ¾î¶² Áõ»óÀÌ ³ªÅ¸³¯ ¼ö ÀÖÀ»±î¿ä?
    ÅðÇ༺°üÀý¿°Àº ´Ü°èº°·Î Áõ»óÀÌ ´Þ¶óÁý´Ï´Ù.
    ÅðÇ༺°üÀý¿° Ãʱ⠴ܰèÀÇ °æ¿ì¿¡´Â ¹«¸­ÀÌ ½ÃÅ«°Å¸®´Â µíÇÑ ÅëÁõÀÌ ³ªÅ¸³³´Ï´Ù.
    ÅðÇ༺°üÀý¿° Áß±â´Â ¾É¾Ò´Ù ÀϾ¸é¼­ ¹«¸­ ÅëÁõÀÌ »ý±â¸ç, ´Ù¸® ¸ð¾çÀÌ OÀÚÇüÀ¸·Î º¯ÇüµÇ´Â ¸ð½ÀÀ» º¸ÀÔ´Ï´Ù.
    ¸»±â¿¡´Â ¹«¸­¿¡ ¹°ÀÌ Â÷°Å³ª ÀÚÁÖ ºÎÀ¸¸é¼­ °È´Â °æ¿ì¿¡´Â ÅëÁõÀÌ ½ÉÇÏ°Ô ³ªÅ¸³³´Ï´Ù.
    À̿ܿ¡µµ ¹«¸­¿¡ ÅëÁõÀÌ ´À²¸Áö¸é¼­ º×±âµµ Çϰí, ¿òÁ÷ÀÌ´Â °ÍÀÌ ºÒÆíÇÏ´Ù¸é ¹«¸­ °üÀý¿°À» ÀǽÉÇÒ ¼ö ÀÖÀ¸´Ï ¾ðÁ¦µçÁö º´¿ø¿¡ ³»¿øÇغ¸¼¼¿ä.



    ¹«¸­ ¼ö¼ú ÈÄ ÀçȰġ·á´Â ¾î¶»°Ô Çϳª¿ä?


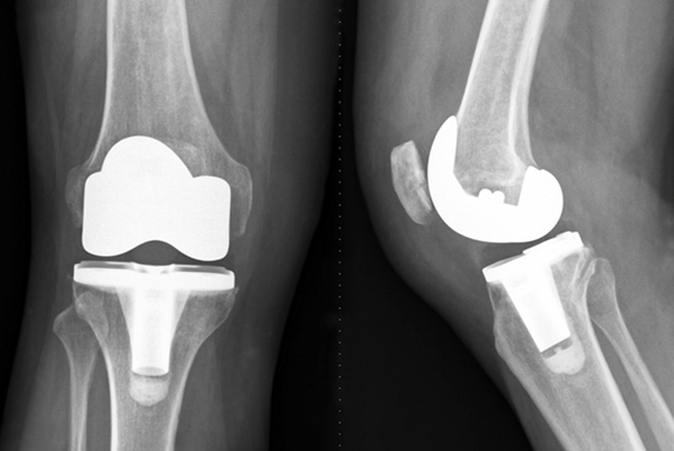
    ¹«¸­ ¼ö¼úÀº ¹Ý¿ù»ó¿¬°ñÆÄ¿­À̳ª ¿¬°ñÀÇ °æ¹ÌÇÑ ¼Õ»óÀÎ °æ¿ì °üÀý°æ ¼ö¼ú, °ñ°üÀý¿°ÀÌ ½ÉÇÑ °æ¿ì Àΰø°üÀý ġȯ¼úÀ» ¹Þ½À´Ï´Ù.
    ¹«¸­ ¼ö¼ú ÈÄ¿¡ ¹ß»ýÇÒ ¼ö ÀÖ´Â ºÎÁ¾°¨¼Ò¿Í Á¤»ó°¢µµ ȸº¹, ¿°Áõ Ä¡·á°¡ ÇÊ¿äÇÕ´Ï´Ù. À̸¦ À§Çؼ­ ÁÖ·Î µµ¼öÄ¡·á, ¾à¹°Ä¡·á, ü¿ÜÃæ°ÝÆÄ¸¦ ÁøÇàÇÕ´Ï´Ù.
    °üÀý°æ ¼ö¼úÈÄ Âª°Ô´Â 2ÁÖ¿¡¼­ 6ÁÖ±îÁöÀÇ °íÁ¤±â°£ÀÌ ÀÖ¾î °üÀý°¡µ¿¹üÀ§ ȸº¹°ú ±Ù·ÂÇâ»óÀ» À§Çؼ­ µµ¼öÄ¡·á¸¦ ¹Þ°Ô µË´Ï´Ù. µµ¼öÄ¡·á´Â ±Ù°ñ°Ý°è ÅëÁõÀ» ÃÖ¼ÒÈ­Çϸ鼭 ½Åü ±ÕÇüÀ» Àâ¾ÆÁÖ´Â Ä¡·á¹æ¹ýÀÔ´Ï´Ù.
    ü¿ÜÃæ°ÝÆÄÄ¡·á´Â ÅëÁõ ºÎÀ§¿¡ Ãæ°ÝÆÄ¸¦ ½ôÀ¸·Î½á ¿°ÁõÀ» °¨¼Ò½ÃŰ´Â Ä¡·á¹æ¹ýÀÔ´Ï´Ù. °­µµ°¡ ³ôÀº ¿¡³ÊÁö¸¦ ±ÙÀ°À̳ª ÀÎ´ë ¿¬°ñ¿¡ ½ôÀ¸·Î½á ¹Ì¼¼ÇÑ ¼Õ»óÀ» ÀÏÀ¸Å°°í, ½Å»ýÇ÷°üÀ» »ý¼ºÇÏ¿© ¹«¸­ ÅëÁõÀ» ¿ÏÈ­ÇÏ´Â ¹æ¹ýÀÔ´Ï´Ù.
    Âü½Ã¿øÁ¤Çü¿Ü°ú¿¡´Â Àü¹®¼ºÀ» °®°í ÀÓ»ó°æÇèÀÌ Ç³ºÎÇÑ Ä¡·á»ç°¡ ȯÀںеéÀÇ »óŸ¦ ÆÄ¾ÇÇÑ µÚ 1:1 ¸ÂÃã Ä¡·á¸¦ ½ÃÇàÇÏ¿© ¹«¸­°üÀý¿°¿¡¼­ ³ªÅ¸³¯ ¼ö ÀÖ´Â ÅëÁõÀ» ¿ÏÈ­ÇÕ´Ï´Ù.



    ÅëÁõÀº ¾î¶»°Ô ¿¹¹æÇÒ ¼ö ÀÖÀ»±î¿ä?


    ¸ÕÀú ¼­¼­ ´Ù¸®´ç±â±â ¿îµ¿À» ¼Ò°³µå¸±°Ô¿ä. ¼± ÀÚ¼¼¿¡¼­ º®À» ¤°í ¼± »óÅ¿¡¼­ ÇÑÂÊ ¹ß¸ñÀ» µÚ·Î Àâ¾ÆÁÖ¼¼¿ä.
    ±× ÈÄ, ¹ß¸ñÀ» ÀâÀº µÚ ¼ÕÀ» ¼­¼­È÷ ¿Ã¸®¸é¼­ ¹«¸­À» µÚÂÊÀ¸·Î ´ç°ÜÁÖ¼¼¿ä.


    ´ÙÀ½À¸·Î ¾É¾Æ¼­ ¹«¸­Æì±â ¿îµ¿À» ¼Ò°³µå¸±°Ô¿ä. ÀÇÀÚ¿¡ ¹Ù¸£°Ô ¾É¾ÆÁÖ¼¼¿ä.
    ÀÌ »óÅ¿¡¼­ ÇÑÂÊ ¹«¸­À» Æì¼­ ¿Ã¸° ´ÙÀ½, ¹ß³¡À» °¡½¿ÂÊÀ¸·Î ´ç°ÜÁÖ¼¼¿ä.












    ¹Ý¿ù»ó¿¬°ñÆÄ¿­

    • ¹Ý¿ù»ó¿¬°ñÆÄ¿­À̶õ?

      ¹Ý¿ù»ó¿¬°ñÀº ź¼ºÀÌ ³ôÀº ¼¶À¯¼º Á¶Á÷À¸·Î Ãæ°ÝÀ» ¿ÏÈ­ÇÏ°í °üÀýÀ» º¸È£ÇÏ´Â µî ¹«¸­ ¿òÁ÷ÀÓÀÌ ¾ÈÁ¤ÀûÀ¸·Î ÀÌ·ç¾îÁöµµ·Ï µ½´Â ¿ªÇÒÀ» ÇÕ´Ï´Ù.
      Çã¹÷Áö »À¿Í Á¤°­ÀÌ »À »çÀÌ¿¡¼­ Ãæ°Ý Èí¼ö ¿ªÇÒÀ» ÇÏ´Â C¶Ç´ÂOÀÚ ¸ð¾çÀÇ ¹°··»ÀÀÎ ¹Ý¿ù»ó¿¬°ñÀÌ ´©ÀûµÈ ¼Õ»óÀ¸·Î Âõ¾îÁ® ÅëÁõÀÌ ¹ß»ýÇÏ´Â ÁúȯÀÔ´Ï´Ù.



      ¾î¶² Áõ»óÀÌ ³ªÅ¸³¯±î¿ä?
      ¹Ý¿ù»ó¿¬°ñÆÄ¿­Àº ¹«¸­ÀÇ ÅëÁõ°ú ÇÔ²² °üÀý ÀüüÀûÀ¸·Î ºÎÁ¾°ú »µ±ÙÇÔÀÌ ¹ß»ýÇÕ´Ï´Ù. °ÉÀ» ¶§ ¹«¸­ÀÌ ºÒ¾ÈÁ¤ÇÑ ´À³¦ÀÌ µé°í °£È¤ ±Ù·ÂÀÌ ¾àÈ­µÇ¸é¼­ ´Ù¸®ÀÇ ÈûÀÌ ºüÁö±âµµ ÇÕ´Ï´Ù. ¹«¸­ ¾ÈÂÊÀÌ ³¢ÀÎ °Í °°À¸¸é¼­ ¹«¸­À» ±ÁÇû´Ù Æì´Â °ÍÀÌ ºÒÆíÇØÁö±âµµ ÇÕ´Ï´Ù. ÀÌ¿Í °°Àº Áõ»óÀÌ ½ÉÇÑ °æ¿ì ¼ö¼ú Ä¡·á¸¦ ÁøÇàÇÕ´Ï´Ù.



      ¹«¸­ ¼ö¼ú ÈÄ ÀçȰġ·á´Â ¾î¶»°Ô ÁøÇàµÇ³ª¿ä?
      Áõ»óÀÌ ½ÉÇÒ °æ¿ì 2Â÷ º´¿øÀ̳ª 3Â÷ º´¿ø¿¡¼­´Â ÁÖ·Î °üÀý ³»½Ã°æÇÏ ¿¬°ñÆÇ ºÎºÐ ÀýÁ¦¼úÀ» ½ÃÇàÇÕ´Ï´Ù. º¸Åë ¼ö¼ú ÈÄ¿¡ ±Ý¹æ ³´´Â´Ù°í »ý°¢ÇÏ´Â ºÐµéÀÌ ¸¹Áö¸¸, ½ÇÁ¦·Î´Â ²ÙÁØÇÑ ÀçȰ Ä¡·á¸¦ ÁøÇàÇÏ´Â °ÍÀÌ ÇÊ¿äÇÕ´Ï´Ù.
      º¸Åë ¼ö¼ú ÈÄ 2-4ÁÖ Á¤µµ´Â ¸ñ¹ßÀ̳ª º¸Á¶±â¸¦ Âø¿ëÇϰí, ±× µÚºÎÅÍ´Â °¡º­¿î º¸ÇàÀ» ½ÃÀÛÇϸ鼭 ±ÙÀ°ÀÇ È¸º¹°ú °üÀýÀÇ ¹üÀ§¸¦ ȸº¹Çϴµ¥ µµ¿òÀÌ µË´Ï´Ù. ¸¸ÀÏ ¼ö¼ú ÈÄ¿¡ 3°³¿ùÀÌ Áö³µ´Âµ¥µµ Áõ»óÀÌ °³¼±µÇÁö ¾Ê´Â´Ù¸é º´¿ø¿¡ ¿À¼Å¼­ ÀûÇÕÇÑ Ä¡·á¸¦ ¹Þ´Â °ÍÀÌ ÇÊ¿äÇÕ´Ï´Ù.
      Âü½Ã¿øÁ¤Çü¿Ü°ú¿¡¼­´Â ÁַΠü¿ÜÃæ°ÝÆÄ¿Í ÁÖ»çÄ¡·á¸¦ ÅëÇØ ¹Ý¿ù»ó¿¬°ñÆÄ¿­ÀÇ ¼ö¼ú ÈÄ ÀçȰġ·á¸¦ µ½½À´Ï´Ù. ü¿ÜÃæ°ÝÆÄ´Â ¹«¸­ ÅëÁõ ºÎÀ§¿¡ ³ôÀº Ãæ°ÝÀ» °¡ÇØ Á¶Á÷ Àç»ýÀ» ÃËÁø ½ÃŰ´Â Ä¡·á¹ýÀÔ´Ï´Ù. ȯÀÚÀÇ ÅëÁõ¿¡ µû¶ó °­µµ Á¶ÀýÀÌ °¡´ÉÇÏ¸ç ¾à¹° »ç¿ëÀÌ ¾ø¾î ºÎÀÛ¿ëÀÌ ³·´Ù´Â ÀåÁ¡ÀÌ ÀÖ½À´Ï´Ù.
      À̿ܿ¡µµ ÇÁ·Ñ·ÎÁֻ縦 ½ÃÇàÇÕ´Ï´Ù. ÇÁ·Ñ·ÎÁÖ»ç´Â ÀÎü¿¡ ÇØ°¡ ¾ø´Â ³ôÀº Æ÷µµ´çÀ» ÀÌ¿ëÇØ Àδ밡 ¼Õ»óµÈ ºÎºÐÀ» ȸº¹ ½ÃŰ´Â Ä¡·á ¹æ¹ýÀÔ´Ï´Ù. ½Ã¼ú ½Ã°£ÀÌ Âª°í, ±ÙÀ°°ú ÈûÁÙ¿¡ Á÷Á¢ÀûÀÎ Àç»ýÀ» ÀÏÀ¸Å´À¸·Î½á °üÀý ÅëÁõÀÇ ¿øÀÎÀ» Ä¡·áÇÕ´Ï´Ù.



      ¼ö¼ú ÈÄ ÅëÁõ ¿ÏÈ­¿¡ µµ¿òÀÌ µÇ´Â ½ºÆ®·¹ÄªÀº ¹«¾ùÀϱî¿ä?
      ¹Ý¿ù»ó¿¬°ñÆÄ¿­Àº ¼ö¼ú ÈÄ¿¡µµ °üÀý ÁúȯÀÇ Æ¯¼º»ó Á¶±â ȸº¹ÀÌ ¾î·Á¿ï ¼ö ÀÖÀ¸´Ï ²ÙÁØÇÑ ¿îµ¿À» ÅëÇØ °ü¸®ÇÏ´Â °ÍÀÌ ÇÊ¿äÇÕ´Ï´Ù.
      1. QSE : ´ëÅð»çµÎ±Ù µîô¼º ¼öÃà¿îµ¿
      µîÀ» ´ë°í ´©¿î »óÅ¿¡¼­ ´Ù¸®¸¦ °ð°Ô Æì°í Æí¾ÈÇÑ ÀÚ¼¼¸¦ À¯ÁöÇÕ´Ï´Ù.
      ¹«¸­ µÚÂÊÀ» ¹Ù´Ú¿¡ ¹ÐÂø½ÃŲ ´ÙÀ½ ¹ß¸ñÀ» ¸öÂÊÀ¸·Î ´ç°ÜÁöµµ·Ï ÇØÁÖ¼¼¿ä.
      Çã¹÷Áö°¡ ´Ü´ÜÇØÁö´Â ´À³¦ÀÌ µéµµ·Ï À¯ÁöÇϸç, ÀÌ »óŸ¦ 5~10ÃÊ µ¿¾È Áö¼ÓÇÕ´Ï´Ù.



      2. SLR : ¼öÁ÷°Å»ó¿îµ¿
      ¾ÆÇÁÁö ¾ÊÀº ´Ù¸®´Â 110µµ ±ÁÇô °íÁ¤ÇÑ ÈÄ, ¾ÆÇ ¹«¸­À» Âß Æí »óÅ¿¡¼­ ÇÏÁö Àüü¸¦ µé¾î ¿Ã·Á ÁÖ¼¼¿ä.
      ÀÌ ¿îµ¿Àº ¼ö¼ú ÈÄ ÀçȰ ¹× ÅðÇ༺ °üÀý¿° ȯÀÚ¿¡°Ô ¹«¸®°¡ °¡Áö ¾Ê´Â ¹üÀ§¿¡¼­ ±ÙÀ°À» °­È­ ½Ãų ¼ö ÀÖ´Â ¹æ¹ýÀÔ´Ï´Ù.



      3. ÁøÀڿ
      Ç㸮¸¦ µî¿¡ ºÙÀÎ »óÅ¿¡¼­ ÀÇÀÚ¿¡ ÆíÇÏ°Ô ¾É¾ÆÁÖ¼¼¿ä.
      Èûµç °æ¿ì¿¡´Â ¾ç¼ÕÀ¸·Î ÀÇÀÚ¸¦ ¾ç¿·À¸·Î Àâ¾Æ Áֽðí, ¹«¸­À» ¾ÕµÚ·Î ±ÁÇû´Ù ÆìÁÖ´Â µ¿ÀÛÀ» ¹Ýº¹Çϸé ÁÁ½À´Ï´Ù.